The Art and Science of Tooth Preparation: Mastering Veneers, Crowns and Overlays with the Final Restoration in Mind
Overview

Porcelain Veneers and Crowns Course

Tooth Preparation and Prosthetic Protocols

Esthetic Prosthetic Treatment Principles from Planning to Delivery

This porcelain veneers and crowns course is designed for all dentists wanting to refine their prosthetic workflows to enhance the outcomes of their esthetic prosthetic restorations. By following precise tooth preparation and prosthetic protocols, the accuracy of restorations is significantly improved and ultimately leading to more predictable and long-term stable treatment outcomes.

Dentists will upgrade their clinical skills and refine all their treatment steps in this porcelain veneers and crowns course on the essentials of prosthetic treatment and the restorative principles which are based on focusing on the variations of tooth related preparation design, material decision, and adhesive techniques.

Learning Objectives

➣ Master all relevant clinical protocols for functional-esthetic prosthetic restorations
➣ Increase the accuracy of preparation techniques for veneers, crowns, and overlays
➣ Understand the critical restorative details in impression taking for analog and digital workflows
➣ Provisional phase, different approaches based on tooth structure; managing tissues and controlling occlusal height
➣ Adhesive cementation protocols to develop competence in reliable adhesive procedures for minimizing risk of restorative complications
➣ Excel in the latest, evidence-based concepts for optimizing tooth preparation and related treatment steps

Course Content and Clinical Skills Hands-on Training:

» Strengthen lab collaboration through prosthetically ideal preparation geometry
» Enhance prosthetic fit and esthetic outcomes through accurate preparation protocols
» Reduce complications through improved preparation design and margin control
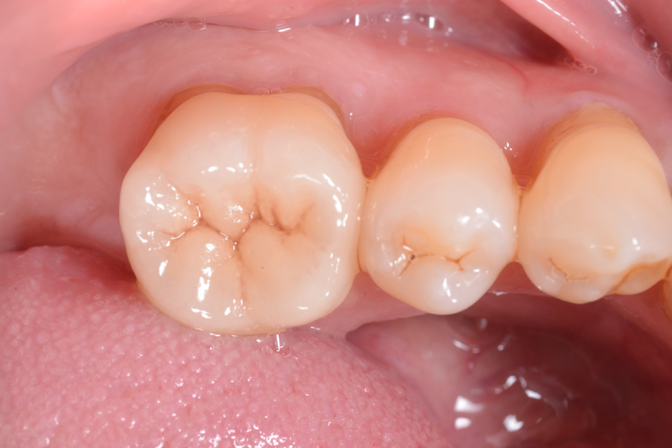
» Understand preparation protocols targeted to different restorative materials and tooth location
» Tooth preparation principles, biological requirements, and margin design
» Digital and analog methods for treatment planning and impressions
» Magnification choices using loups and microscope
» Preparation specifics to tooth morphology
» Instrumentation, specific designs of dental burs, reduction control, indexing
» Specific requirements for anterior teeth, esthetic considerations, smile line
» Requirements for molars specific to tooth location and material selection
» Specific requirements for porcelain veneers, step-by-step protocols
» The adhesive overlay, preparation rules for vital and non-vital teeth
» Soft tissue handling before, during and after preparation
» Immediate dentin sealing and deep margin elevation
» Critical aspects of the provisional phase and control of vertical height
» Adhesive cementation, step-by-step protocols for teeth and restorations; isolation,
» Continuity of dental arches, reference line, and occlusal curvature
» Occlusal rehabilitation using implants in the molar regions of both arches
» Increase confidence managing complex anterior, posterior, interdisciplinary cases
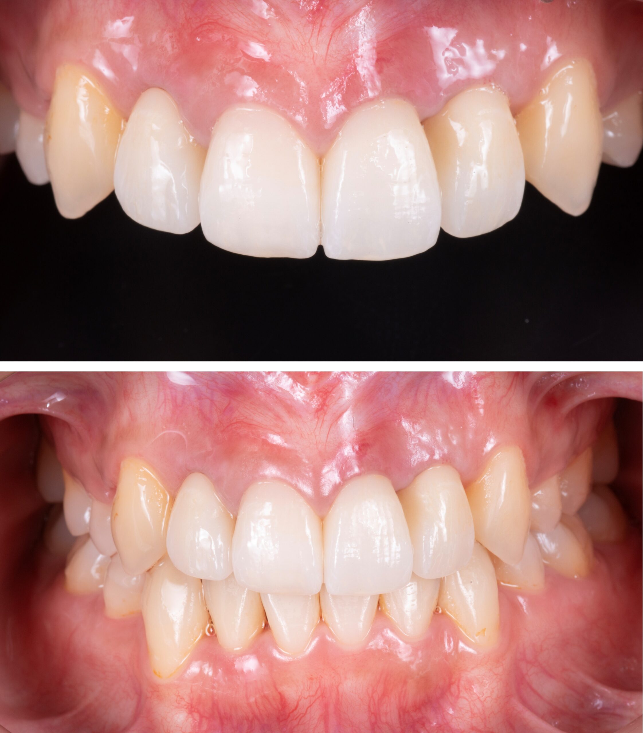
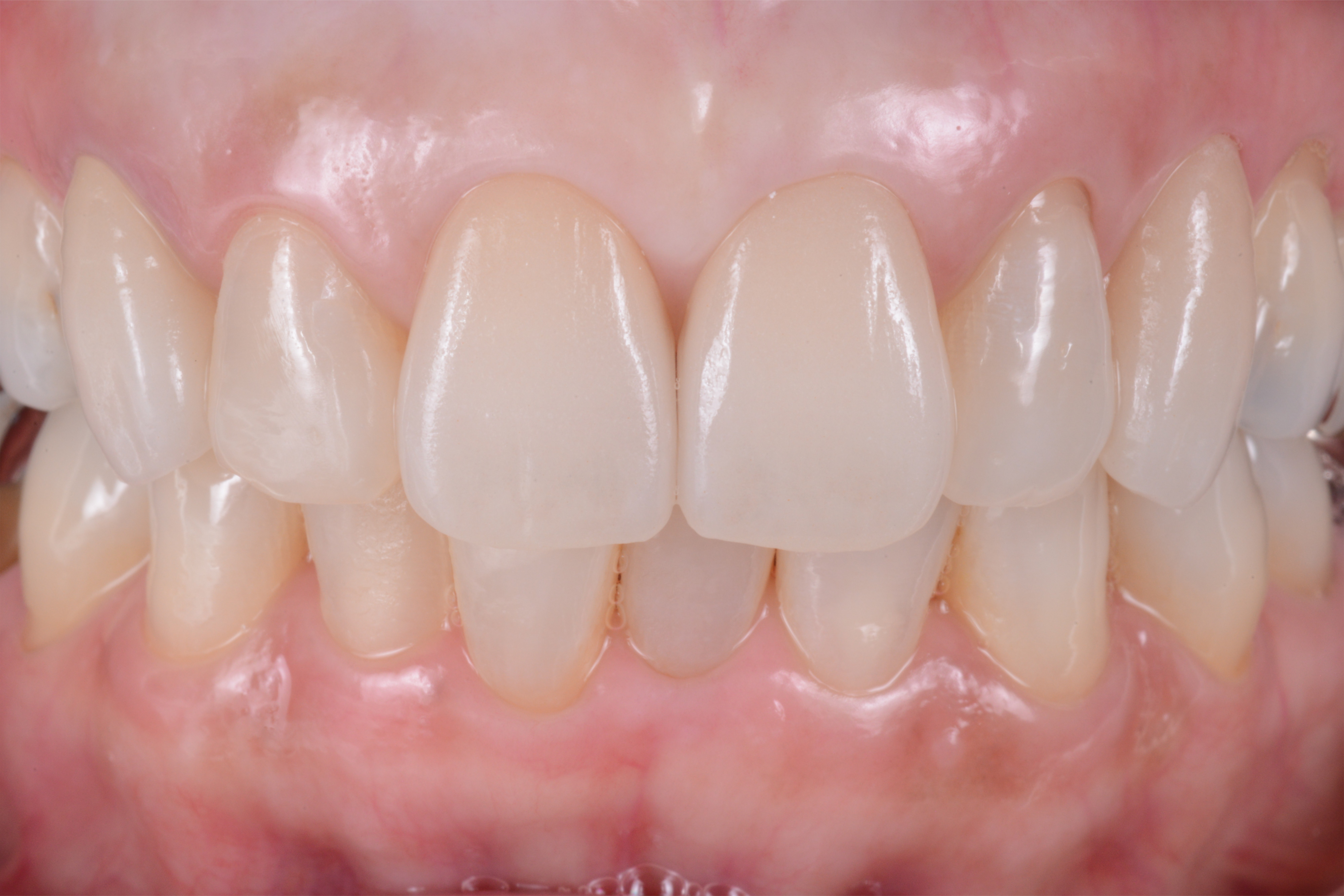
Elevate longevity and predictability of your Veneers, Crowns, and Adhesive Restorations

A Comprehensive Approach to Tooth Preparation and Prosthetic Success

Rather than teaching isolated techniques, this course presents tooth preparation as an integrated process that begins with diagnosis and ends with predictable restoration delivery. Participants learn how preparation design influences every downstream step, including provisional, impression or digital capture, laboratory communication, adhesive cementation, and long-term clinical performance.

Lectures address the biological requirements of tooth preparation, including enamel and dentin preservation, margin placement relative to soft tissues, and the relationship between preparation geometry and periodontal stability. These principles are then reinforced through hands-on exercises that emphasize reduction control, margin refinement, and preparation accuracy for different restorative materials such as layered ceramics, zirconia, and adhesive restorations.

Special attention is given to vertical preparation concepts, including indications, instrumentation, provisional margin development, and establishment of the definitive restoration margin through controlled tissue management. Participants gain clarity on when and how vertical preparation can be predictably integrated into modern prosthetic treatment planning.

Veneers, Crowns, and Overlays Taught as a Unified Discipline

Porcelain veneers, crowns, and ceramic overlays are taught as interconnected restorative solutions governed by shared prosthodontic principles. Veneer preparation is addressed in the context of smile design, reduction control, material thickness requirements, and adhesive protocols, while crown and overlay preparation emphasize structural durability, occlusal considerations, and long-term functional stability.

By understanding how preparation requirements vary based on tooth position, restorative material, and esthetic demands, participants are able to approach both anterior and posterior cases with greater consistency and confidence.

Designed for Immediate Clinical Application

This course is designed for clinicians who want to immediately improve clinical performance rather than simply observe techniques. The workflows taught are applicable to everyday restorative cases as well as advanced interdisciplinary treatment involving esthetics, occlusion, and adhesive dentistry.

Participants leave with a repeatable framework for tooth preparation that strengthens collaboration with the dental laboratory, improves restorative fit and esthetic outcomes, and supports long-term restorative success.

Join us to be at the forefront of modern prosthetic dentistry and elevate your practice in tooth preparation and prosthetic protocols

Master the Art of Tooth Preparation

> Design biologically sound, morphology-driven tooth preparations for veneers, crowns, vertical preparations, and ceramic overlays
> Control margin placement, taper, and reduction depth based on tooth position, material selection, and prosthetic requirements
> Prepare teeth according to restorative material demands for layered ceramics, zirconia, and adhesive restorations
> Execute precise preparation workflows using silicone guides, magnification, and digital verification
> Manage the provisional phase, including tissue control, occlusal stability, and margin refinement
> Integrate Immediate Dentin Sealing (IDS) into posterior and adhesive restorative cases
> Apply predictable isolation and adhesive cementation protocols for veneers and overlays

Latest Advanced Protocols for Highly Esthetic Results

> Achieve consistently accurate, repeatable tooth preparations that improve prosthetic fit and esthetic outcomes
> Reduce biological and mechanical complications through improved preparation design and margin control
> Increase confidence and efficiency in anterior, posterior, and interdisciplinary restorative cases
> Strengthen collaboration with the dental laboratory through prosthetically ideal preparation geometry
> Elevate the longevity and predictability of veneers, crowns, and ceramic overlays
> Develop advanced clinical decision-making under direct prosthodontic mentorship

  • Intense hands-on training
  • Training directly from world leading instructors
  • Small group size with a maximum of 16 participants, one-on-one mentoring
  • All honoraria are paid by IDEA: no corporate influence or manufacturer representatives on campuss
  • State-of-the-art, simulation laboratory including a surgical microscope at each work station
  • Networking with like-minded professionals from around the world
  • Bring your own cases. Discuss techniques and issues relevant to your practice
  • Hotel accommodations, beginning the night prior to the course and ending the morning after the course
  • Local transportation between the San Francisco International Airport (SFO), IDEA’s partner hotel and the IDEA facility
  • Meals: IDEA’s in-house chef serves breakfast and lunch freshly prepared. You will also enjoy a “Welcome” Reception and “Networking” Dinner on the first evening and the Graduation Ceremony and “Celebration” Dinner on the last evening of the course

Request the Daily Agenda for this Porcelain Veneers and Crowns Course with Jun Iwata!

Course Gallery

Course Dates
36 CE Credits
Tuition - All Inclusive Course Package
$ 6,380 "No Hotel" Option
$ 6,980 "Hotel" Option
Secure Your Spot.. Course is Filling!

Secure your seat with the $750 deposit.
Payment plans available at no additional charge.

What our Alumni Say

IMG_8365

I always love coming back to IDEA. The facility, knowledge, and passion is extraordinary, and state of the art. It's been such a privilege to meet up with such a diverse, wonderful group of clinicians and participate in the best learning experience available. It's a true career highlight.

Duncan Copp
General Practitioner, Sydney, Australia
DSC00656

I love coming to IDEA Academy and challenging my beliefs of what is capable in Dentistry.

Jonathan Pascarella
General Practitioner, Red Bluff, CA
IMG_4990

In today's climate it is hard to find high level, quality CE and training. IDEA provides both. I highly recommend IDEA.

John Barksdale
General Practitioner, Baton Rouge, LA
DSC00191

IDEA is transformative for dental professionals. With world-renowned instructors, a network of like-minded peers, and exceptional hands-on training, it's the ideal place to elevate your practice. Every detail is meticulously crafted, from expert-led courses to gourmet meals. If you are committed to advancing in dentistry, this is where you need to be.

Anna Paholiouk
General Practitioner, Rancho Mission Viejo, CA
IMG_6060

World class education and customer service. IDEA is responsible for catapulting my clinic career towards excellence through its lineup of top educators from around the world. There is no academy like it where you are with like-minded individuals learning from the best while being treated like royalty.

Michael Webster
General Practitioner, BC, Canada
IMG_5707

Thank you, as always, for a well-run, ultra organized course. I love being well cared for and diving deeply into an essential subject. Every course I have taken is useful for the next practice day. These courses elevate your skill set and broaden possibilities for practitioners and patients alike.

Cynthia Copeland
General Practitioner, Santa Barbara, CA
IMG_8135

IDEA is a state-of-the-art facility that provides the highest quality education in a 5-star setting including great meals for breakfast, lunch, and dinner, independent of corporate sponsors and other influences. If you want to stand apart in the profession, your journey should include IDEA.

Kristopher Paul Rappold
General Practitioner, New Orleans, LA
1 (31)

I am so grateful to be able to learn this level of dentistry.  IDEA is a perfect setting to accomplish this. An intimate setting for lectures and lab, getting to learn best techniques and use different equipment to know if I would like to buy or not, and fantastic meals.  Wonderful, friendly people here! Thank you IDEA! You are First Class in my book!

Shane Nelson
General Practitioner, Overland Park, KS
IMG_7327

This course far exceeded my expectations. I knew I was going to receive world-class education, but the entire experience; the didactic, organizational & social aspects were superb. To practice dentistry, you go to dental school; to learn quality dentistry, you take courses at IDEA.

Ahmed Heider
General Practitioner, Redcliff, AB, Canada

Frequently Asked Questions

This course is ideal for General Practitioners, Pediatric Dentists, and Orthodontists who want to expand their expertise in early prevention orthodontics. Whether you plan to treat young patients directly or refer them appropriately, the course equips you with the knowledge to make accurate diagnostic decisions and initiate early treatment when necessary.

Unlike traditional orthodontics, which often focuses on visible signs and delayed intervention, this course introduces a functional, evidence-based approach centered around Sato’s Craniomandibular Orthodontics. It emphasizes early diagnostics, physiological mandibular positioning, and vertical dimension control to guide natural growth and reduce the need for surgery or extractions later on.
The course is focused on treating children of any age—from early milk dentition through mixed dentition stages. You’ll learn how to identify early signs of dental and skeletal malocclusion and implement treatment at the right developmental stage.

This treatment concept is effective in managing a wide range of malocclusions and issues such as:

  • Class II and III Malocclusions

  • Crossbites

  • Mandibular Lateral Displacement (MLD)

  • High or Low Angle Skeletal Growth Patterns

  • TMJ Disorders in children
    By addressing these issues early, the approach significantly reduces the need for future orthognathic surgery and premolar extractions.

After the course, you’ll gain:

  • A new, efficient treatment concept that avoids removable appliances and prioritizes functional diagnostics

  • Evidence-based techniques that support skeletal and dental development

  • Enhanced ability to protect the TMJ and improve overall physical health

  • Immediate tools to implement early orthodontic treatment and become a leading provider in your area for pediatric dental care

Standard :

Payment in 2 installments
6 and 4 months prior to the course start date.

Individual:

Monthly installments at no additional charge. Due 30 days prior to course start date.

Other options available. Please call us.

Course Package Includes:

  • 5-night hotel stay
  • Transportation between the hotel and IDEA facility
  • All meals, freshly prepared by our in-house chef
  • All instruments, materials, handouts
  • Bring your own cases
  • Post-course mentorship
One tuition, no extra cost – you only need your “flight”

Request Daily
Course Agenda

Please fill the form to receive the course agenda. In which you will be able to find the scheduled daily program, designed for an outstanding experience. We are looking forward to welcoming you at IDEA!

"*" indicates required fields

This field is for validation purposes and should be left unchanged.
Name*
Consent*

See How IDEA Alumni Consistently Increase Case Acceptance by 20-30%

Show Me How It Works