Periodontal and Peri-implant Plastic Surgery - Minimally Invasive Techniques with Maximum Precision: The Brazilian Approach
faculty scaled
Overview

Plastic Periodontal Surgery Course

Soft tissue Management around Teeth and Implants

Contemporary Microsurgical Concepts for Optimized Soft Tissue Management

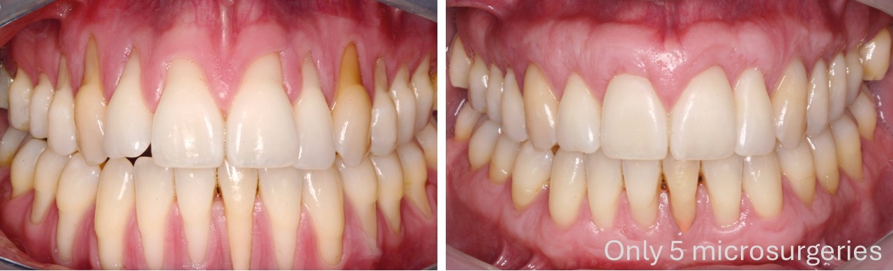
Today, the success of soft tissue regeneration is measured not only by esthetic root coverage, but also by tissue characteristics, absence of scarring, and excellence in post-operative healing.

This Plastic Periodontal Surgery Course is designed to refine your surgical skills, enhance precision, and elevate patient outcomes, helping you meet the highest esthetic expectations when correcting soft tissue defects.

Learning Objectives
➣ The three essentials for microsurgery: minimally invasive techniques and maximal precision, microsurgical instrumentation, and magnification.
➣ Confidence and proficiency in soft tissue management around teeth and implants, emphasizing precise surgical execution and atraumatic wound closure.
➣ Predictable primary intention healing and its clinical advantages, such as reduced morbidity, accelerated healing, absence of scarring, and highly predictable outcomes

Root Coverage, Esthetic Crown Lengthening, Papilla Reconstruction, Peri-implant Defects

Course Content and Clinical Skills Hands-on Training:
➣ Clinical aspects of esthetic and surgical planning
➣ General microsurgical principles
➣ Development of new motor skills in both hands
➣ Mastery of microincision techniques and the principles of micro-suture geometry
➣ Microsurgical flap design – 90 degree initial microincision and split-thickness flap
➣ Microsuturing techniques – approximation sutures, coaptation sutures, tension-relieve and primary wound closure
➣ Modified tunnel -technique – the “Microenvelope”
➣ Subepithelial connective tissue graft harvesting – novel approach for full control of quantity and quality
➣ Connective tissue graft harvesting with increased patient comfort
➣ Root coverage for single recession– semilunar technique and microenvelope
➣ Multiple gingival recessions – combined modified tunnel flap and subepithelial connective tissue graft
➣ Complex root coverage with semilunar technique
➣ Papilla reconstruction with predictable techniques
➣ Esthetic Crown Lengthening
➣ Implant coverage of exposed abutments with subepithelial connective tissue graft
➣ Combined treatment of peri-implant soft tissues thickening associated with root coverage

Innovative Microsurgical Protocols – Simplified through higher Precision

Led by renowned Brazilian experts Drs. Glécio Vaz de Campos and Cláudio Julio Lopes—authors of the Quintessence bestseller “Periodontal and Peri-implant Plastic Microsurgery: Minimally Invasive Techniques with Maximum Precision”
this plastic periodontal surgery course on soft tissue management around teeth and Implants integrates science with contemporary concepts, and advanced clinical protocols with hands-on microsurgical training to elevate patient care and outcomes.

Advance Periodontal and Peri-Implant Surgical Outcomes

Training Method
Participants will train on specially designed, high-fidelity 3D models and observe surgical video demonstrations that replicate common clinical scenarios encountered in daily practice.

Hands-on exercises are conducted under an operative microscope to optimize precision and visual control; however, the techniques taught are directly transferable to routine clinical practice using either magnification loupes or a surgical microscope.

World-class Education for Every Skill Level

No matter where you begin, this course is designed for clinicians at every stage of their professional career — whether you are expanding your treatment portfolio, refining established microsurgical skills, or seeking to remain at the forefront of periodontal therapy. IDEA’s Education is designed to meet clinicians exactly where they are.

Continuous Chairside Coaching at an Exceptional Faculty Ratio

IDEA courses are capped at just 16 participants and supported by multiple instructors, creating a 1:8 (or better) instructor-to-student ratio. This means continuous chair-side coaching, immediate feedback, and true one-on-one moments throughout the course session.

___________________________________________________________________________________________

Transform Periodontal and Implant Outcomes through Microsurgical Precision

Microsurgery has revolutionized periodontal and peri-implant plastic surgery by enabling precise, minimally invasive interventions that promote rapid healing, minimize post-operative discomfort, and optimize esthetic and functional results.

Using advanced magnification tools such as operating microscopes and loupes, along with specialized micro-instruments, you will refine your surgical skills to a new level of accuracy and confidence.

This Plastic Periodontal Microsurgery Course offers a comprehensive exploration of the fundamentals and innovations in microsurgical root coverage, papilla reconstruction, esthetic crown lengthening, and peri-implant soft tissue regeneration.

You will engage in detailed surgical planning and step-by-step microsurgical protocols focused on achieving primary intention healing, standardized and simplified graft harvesting, and defect-specific soft tissue correction.

Increase Your Confidence to Tackle Complex Soft Tissue Defects

This Plastic Periodontal Microsurgery Course uniquely blends the latest scientific evidence with practical skill-building to ensure you leave ready to immediately implement new esthetic periodontal surgery concepts into your practice.

Soft tissue Management around Teeth and Implants hands-on course is an unparalleled opportunity to deepen your knowledge, sharpen your manual dexterity, and elevate your patient outcomes.

You will return to your practice inspired, with new concepts and elevated skills that can be implemented immediately.

Join us for the most Dedicated and Focused course on Periodontal Microsurgery

Transform Soft Tissue Management with Innovative Microscopical Protocols
> Principles of periodontal and peri-implant microsurgery, including magnification and instrument handling > Step-by-step microsurgical flap designs tailored to various soft tissue defects > Safe, predictable harvesting of subepithelial connective tissue grafts > Techniques for root coverage and gingival recession correction > Esthetic Crown Lengthening > Methods to reconstruct interdental papillae and soft tissue contours > Approaches for peri-implant mucosal defect management and augmentation > Strategies to promote primary intention healing and minimize scarring > Clinical decision-making for customized treatment planning and patient management
Expand Your Surgical Repertoire - Enhance Patient Care

> Achieve superior surgical precision and enhanced esthetic outcomes
> Minimize graft morbidity and accelerate post-operative healing
> Increase predictability and long-term stability of periodontal and peri-implant procedures
> Gain increased confidence operating with magnification and micro-instruments
> Expand your surgical skill set with minimally invasive techniques
> Improve patient satisfaction through refined soft tissue management
> Acquire knowledge grounded in the latest scientific evidence and clinical innovation
> Network with expert instructors and peers committed to advancing microsurgical practice

IDEA – Practical. Personal. Powerful.
  • All-inclusive package: hotel, transportation, in-house chef
  • One tuition, no extra cost – you only need your “flight”
  • Small groups – only 16 participants
  • Intense hands-on – immediately applicable
  • Leading faculty – best in their field
  • State-of-the-art facility – one of a kind
  • Independent – pure, sponsor-free education
  • Networking with like-minded professionals
  • Bring your own cases for discussion
  • Post-course mentorship – stay connected
  • Personalized – true one-on-one education
Immerse in IDEA’s unique world of Advanced Dental Education
Request the daily agenda and Join IDEA with Glécio Campos and Cláudio Lopes

Course Gallery

Course Dates
36 CE Credits
Tuition - All Inclusive Course Package
$ 9,380 "No Hotel" Option
$ 9,980 "Hotel" Option

Secure your seat with the $750 deposit.
Payment plans available at no additional charge.

What our Alumni Say

AdobeStock_122095768_Preview

Extremely informative and captivating. Loved the hands-on component the most. This course will change the way I practice periodontics.

Sean Fisher
Periodontist, Edmonton, AB, Canada
AdobeStock_122095768_Preview

This course brings the surgical technical precision of vascular surgery as applied to soft tissue grafting. It can be used for treatment of any soft tissue deficiency around teeth or implants, regardless of the phenotype or amount of keratinized tissues. As a singular stand alone technique to solve all these complex problems, it is worth learning for any surgeon that wants more predictable outcomes.

Audrey McNamara
Prosthodontist, Grand Prairie, TX
AdobeStock_122095768_Preview

This was a wonderful course which highlighted new techniques, theory behind the procedures and gave multiple clinical cases. The lab practice helped to solidify skills. The faculty was knowledgeable, helpful and essential to the experience.

Hannah Afwerke Lynch
Oral Surgeon, Chanhassen, MN
AdobeStock_122095768_Preview

I just really enjoy the quality of the instructors and facilities. Learning in a small group setting with like-minded colleagues makes the length of the course and the distance travelled worthwhile.

Francisco Carlos
Periodontist, Falls Church, VA
AdobeStock_122095768_Preview

My attendance at IDEA has been life altering. The courses I have taken have advanced my practice exponentially over the years. I highly recommend IDEA to anyone interested in advancing their surgical and implant skills!

Ben Lashley
General Practitioner, North Platte, NE
AdobeStock_122095768_Preview

Extremely rewarding experience. The hands-on component is absolutely outstanding. Recommend this soft tissue course to everyone.

Kevin Lung
Oral Surgeon, Edmonton, AB, Canad

Frequently Asked Questions

No prior experience is required. This course is designed to help dentists at any level become confident using microsurgical techniques. Whether you’re new to magnification or already working with loupes or a microscope, the step-by-step instructions will meet you where you stand and ensure you get to the next level of microsurgery and periodontal surgery in general.

Yes. Each participant will have access to a fully equipped workstation with a surgical microscope. You’ll receive hands-on guidance throughout the training to help you integrate microscope use into your daily clinical work.

The course focuses on root coverage, peri-implant soft tissue augmentation, papilla reconstruction, connective tissue grafting, and flap designs using minimally invasive microsurgical techniques.

This is not a lecture-heavy seminar. It’s a focused, immersive dental continuing education program for 4-days, with intensive hands-on training. You’ll work in small groups, practice on simulation models, and get one-on-one mentoring to ensure you can reproduce every technique in your own practice.

Yes. This program qualifies as part of your continuing dental education and provides ADA and AGD approved CE credits that count toward your licensure and professional development requirements.

Absolutely. The protocols are designed to be practical and adaptable. You’ll leave with the clinical confidence to apply what you’ve learned right away, improving results for your esthetic and implant cases.

Microsurgery uses magnification, fine instruments, and precise movements. This allows more accurate tissue handling, smaller incisions, and less trauma. As a result, healing is often faster and more predictable.

Basic microsurgical suturing skills can be learned with focused training and practice. Mastery takes time and repetition, especially when working with delicate soft tissue. Consistent hands-on practice is key to building control and confidence.

Grafts are carefully harvested using precise incisions to preserve tissue health. They are transferred with minimal handling to maintain blood supply and reduce trauma. This careful approach improves graft survival and healing.

Microsurgery allows better control of tissue thickness, contour, and positioning around implants. This leads to more natural-looking gingival margins, improved symmetry and absence of scarring. Reduced trauma also helps maintain tissue stability over time.

Greater precision leads to absence of scarring, better healing, lower morbidity and fewer complications. Over time, this results in more stable soft tissue, improved esthetics, and longer-lasting clinical results.

Standard :

Payment in 2 installments
6 and 4 months prior to the course start date.

Individual:

Monthly installments at no additional charge. Due 30 days prior to course start date.

Other options available. Please call us.

Course Package Includes:

  • 5-night hotel stay
  • Transportation between the hotel and IDEA facility
  • All meals, freshly prepared by our in-house chef
  • All instruments, materials, handouts
  • Bring your own cases
  • Post-course mentorship
One tuition, no extra cost – you only need your “flight”

Request Daily
Course Agenda

Please fill the form to receive the course agenda. In which you will be able to find the scheduled daily program, designed for an outstanding experience. We are looking forward to welcoming you at IDEA!

"*" indicates required fields

This field is for validation purposes and should be left unchanged.
Name*
Consent*

See How IDEA Alumni Consistently Increase Case Acceptance by 20-30%

Show Me How It Works